Kompliziertes Unterlidektropium

Einleitung

Beim komplizierten Unterlidektropium besteht neben einer Fehlstellung der Unterlidkante eine irreversible Deformation des Lidrandes. Die Lidranddeformation kann als Folge eines einfachen Unterlidektropiums auftreten Bei einem Narbenektropium kann die Deformation bereits primär vorkommen. Die Behandlung des komplizierten Ektropiums beinhaltet die Schritte, die bereits für das primäre Unterlidektropium gelten und erfordert zusätzliche Maßnahmen für die Korrektur der Lidranddformation. Die häufigste Deformation ist die Schrumpfung der Haut unterhalb des Tränenpünktchens. Das Überlaufen der Tränen über die Lidkante nach aussen führt zur Reizung der Haut (Dermatitis) und deren Schrumpfung. Die verkürzte Haut zieht das Tränenpünktchen weiter nach aussen und unten. Beim komplizierten Unterlidektropium kommt es auch zu Deformation der Lidkante, indem die normale rechtwinklige Form der Innnekante und Aussenkante in eine Rundung und Verdickung übergeht. Beim komplizierten Unterlidektropium besteht immer ein Mangel von gesundem Gewebe und ein Überschuss von narbig verformtem Gewebe. Die Operationsplanung sollte die Erhaltung des gesunden Gewebes anstreben, also auf die Kürzung des Lides durch Exzision verzichten.

Abstract

Complicated lower lid ectropium can be defined as a deviation of the lower lid margin in combination with an irreversible deformation of the lid margin. The deformity of the lower lid margin can result secundarily from chronic simple ectropium or can be caused primarily by a cicatricial process. The surgical correction includes the steps decribed for the simple lower lid ectropium 3.2.1 and an additional procedure to correct the deformity of the lid margin. The most frequent deformity is caused by cronical epiphora causing dermatitis below the lacrimal punctum inducing skin retraction. Surgical procedures to correct complicated lower lid ectropium should try to preserve all of the healthy tissue.

Deformationen der Lidkante

Die Deformation wird durch den chronischen Tränenfluss bedingt, der die Haut benetzt und eine entzündliche Reaktion der Haut (Ekzem, Dermatitis) verursacht. Dies führt zu einer Verkürzung der Haut. Die Haut unterhalb des Tränenpünktchens hat nur eine Dicke von 0,2 mm. Der ständige Kontakt mit überlaufenden Tränen führt zur Fibrose, also einer entzündlichen Reaktion mit Zunahme der Kollagenfasern der Haut. Eine zweite Art der Deformation beobachtet man an der hinteren Schicht (Tarsokonjunktiva). Das Ektropium führt immer zu einer Exposition der Schleimhaut auf der Rückseite des Lides. Die Schleimhaut trocknet ein und es bildet sich ein Verhornung (Keratinisierung) mit Verdickung und Verlust der Elastizität.

Abb. 1: Die häufigste Deformation wird durch die Hautschrumpfung unterhalb des Tränenpünktchens verursacht (weisser Pfeil). Zusätzlich trocknet die Bindhaut aus (rote Fläche) und bildet eine Verhornung (Keratinisierung), was zur Deformation und Verlust der Elastizität führt.

Abb. 2: Kompliziertes Ektropium mit Hautmangel (schwarzer Pfeil). Der Lidrand ist 8mm unter den Hornhautrand abgesunken. Es besteht ein Hautmangel von 8 mm, der nur durch ein Hauttransplantat korrigiert werden kann.

Hauttransplantate

Hauttransplantate können meist in geeigneter Dicke aus dem Oberlid gewonnen werden. Falls keine überschüssige Haut am Oberlid vorhanden ist, kan aus periorbitalen Spendebereichen am lateralen Kanthus oder im lateralen Malarbereich entnommen werden. Hautareale ausserhalb des Gesichts oder mit grösserer Hautdicke lassen sich mit dem Dermatom als Spalthaut gewinnen. Eine günstige Entnahmestelle für Spalthaut bietet die Oberarminnenseite. Vor der Retraktorfixation wird eine subziliare Entlastungsinzisiion angelegt, die bei Hautmangel einige mm klafft und durch die Hauttransplantation gedeckt wird.
Abb. 3: Die subziliare Inzision klafft einige mm nach der Retraktorenfixation. Es besteht ein Hautmangenl von 5mm.
Abb. 4.: Das Hauttransplantat wurde aus dem Oberlid gewonnen und in den Unterliddefekt eingefügt.
Abb. 5: Die Pinzette hebt die Bindehaut an, um die weisse Retraktorschicht freizulegen. Die hintere Nahtkomponente (schwarze Nylonnaht) fasst die Retraktoren.
Abb. 6: Durch die Straffung der hinteren Nahtkomponente neben der Karunkel wird das Tränenpünktchen nach medial und innen verlagert.
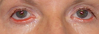
Abb. 7: Präoperativ: kompliziertes Ektropium mit einem Hautdefizit von 10 mm.
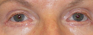
Abb. 8: Postoperativ nach Transplantation von Vollhaut aus den Oberlidern.
Keratinisierung der Bindehaut

Die Keratinisierung (Verhornung) der Bindehaut entsteht durch den Verlust des Schleimhautkontaktes der Bindhautlamellen zwischen dem Auge und dem Lid. Dies führt zur Austrockung der Schleimhaut mit Austrockung und Verhornung und allmählich zur Verformung (Rundung und Verdickung) des Lidrandes.
Abb. 11: Rundung der Lidkante (rote Linie) mit Abweichung der Richtung des Wimpernwachstums.
Abb. 12: Die keratinisierte Lidkante ist nach aussen gekippt . Das Richtung des Wimpernwachstums ist nach oben abgewichen.
Abb. 13: Präoperativ: evertierter und deformierter Lidrand.
Abb. 14: Postoperativ: die Deformation wurde mit horizontalen Splitinzisionen und Exzision von vernarbtem Gewebe korrigiert
Abb.15: Präoperativ: multiple narbige Deformationen der Lidkante.
Abb. 16: Postoperativ: die deformierten Bereiche wurden eliminiert. Beide Lidlamellen mussten durch Schleimhaut- und Hauttransplantation rekonstruiert werden.