Lateraler Telekanthus

Einleitung 
Ein lateraler Telekanthus (medial verlagerter Kanthus) liegt vor, wenn der Punkt der Vereinigung von Ober- und Unterlid nach innen in Richtung Kornea des Augapfels verschoben ist. Die Ursache des primären lateralen Telekanthus ist eine Atrophie des lateralen Musculus orbicularis kombiniert mit einer Insuffizienz der Kanthalligamente, die die Funktion haben, dem Musculus orbicularis eine Insertion zu geben. Normalerweise kontrahieren die Muskelfasern von Ober- und Unterlid unabhängig voneinander zwischen ihren spezifischen Ansatzpunkten. Wenn die lateralen Aufhängebänder fehlen, verliert der Muskel seine seitliche Insertion und verhält sich wie ein Sphinkter, wodurch der Kanthus nach innen gezogen wird. Der sekundäre laterale Telekanthus wird durch Zug nach Resektionen des Lids zur Entfernung von Tumoren oder zur Behandlung einer Laxität verursacht. 

Abstract 
Lateral telecanthus is present when the union of the lateral upper lid and lower lid is displaced towards the centre of the eye. The primary lateral telecanthus can be caused by an atrophy of the lateral orbicularis muscle and the laxity of the lateral canthal tendons, that also provide the insertion of the orbicularis muscle to the periosteum. Normally the muscular fibers of the upper and lower lid contract individually between their specific insertions. If the lateral achoring tendons are loose, the upper and lower orbicularis muscle can act like a sphincter and displace the lateral canthus towards the center of the eye. The secondary lateral telecanthus is caused by eyelid shortening to treat laxity or resect tumors.

Primärer lateraler Telekanthus 
Der primäre laterale Telekanthus entsteht durch Degeneration (Involution) des Musculus orbicularis und der Kanthalligamente ohne vorausgehende traumatische oder chirurgische Läsion. Die Verlagerung des Kanthus wird durch die Spannung des oberen oder unteren Musculus orbicularis verursacht, die ihre seitliche Insertion verloren haben oder durch eine Atrophie des Muskels. Dadurch verwandeln sich Ober- und Unterlidmuskel in einen Sphinkter, der den Kanthus nach medial zieht. Der primäre Telekanthus kann mit einer Ptosis des Oberlids oder einem Ektropium des Unterlids assoziiert sein (Abb.3, Abb.5). In einigen Fällen kann man auch eine Verlagerung des Unterlids nach nasal beobachten, bis der Tränenpunkt über der Karunkel oder vor dem oberen Tränenpunkt liegt. Die Pathologie kann mit der Fuchs-Blepharochalasis assoziiert sein. 

Chirurgie des primären lateralen Telekanthus 
Die chirurgische Korrektur basiert auf der Verstärkung oder Rekonstruktion der lateralen Kanthalligamente und der Refixation des Musculus orbicularis an seine laterale Insertion. Eine Kantoplastik mit Tarsuslasche kann in einigen Fällen ausreichend sein. Wir haben jedoch partielle Rezidive des Telekanthus in Fällen beobachtet, die nur mit einer einfachen Kantoplastik behandelt wurden. Möglicherweise war die Kantoplastik nicht ausreichend, um den Muskel lateral wieder einzusetzen, aufgrund der Atrophie oder des Fehlens der Fasern im Dreiecksbereich am lateralen Kanthus (Abb.3). Deshalb empfehlen wir, die Kantoplastik mit einer Muskelplastik (Reinsertion eines Muskellappens) zu kombinieren.

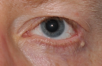
Abb.1: Lateraler Telekanthus: Der laterale Winkel ist in Richtung Zentrum des Auges verlagert. In der grauen Pfeilzone sieht man eine Atrophie des lateralen Musculus orbicularis.

Abb.2: Die Zugwirkung des Musculus orbicularis des Unterlids verursacht eine nasale Verlagerung des Unterlids, bis der Tränenpunkt über der Karunkel oder vor dem oberen Tränenpunkt liegt. Die vordere Lamelle ist atrophisch und seitlich verdünnt.

Abb.3: Lateraler Telekanthus mit dreieckigen Atrophiezonen des Musculus orbicularis.

Abb.4: Postoperativ nach Kantoplastik, Korrektur von Ektropium, Hauttransplantat und Reinsertion des Musculus orbicularis.

Abb.5: Präoperativ: Primärer lateraler Telekanthus mit Unterlid-Ektropium. Man sieht das laterale Dreieck mit atrophischem Musculus orbicularis.

Abb.6: Postoperativ (1 Woche): Laterale Kantoplastik, Reinsertion des Musculus orbicularis und subziliäres Hauttransplantat.

Abb.7: Präoperativ: Lateraler Telekanthus mit Ptosis.

Abb.8: Postoperativ: Nach Levator-Operation, lateraler Kantoplastik und Reinsertion des Musculus orbicularis.

Abb.9: Sekundärer lateraler Telekanthus nach Rekonstruktion von 1/3 des Unterlids. Stumpfer lateraler Winkel, eckiger Unterlidrand.

Abb.10: Postoperativ unmittelbar: Korrektur des Telekanthus und des Unterlidrandwinkels.

Abb.11: Postoperativer Verlauf: Nach einigen Wochen bleibt die Position des lateralen Winkels stabil, aber es zeigt sich eine leichte Winkelbildung des Unterlids.