Melanose

Differenzialdiagnose von Pigmentierungen

Einleitung
Eine Melanose beschreibt eine nicht generalisierte dunklere Verfärbung der Haut oder der Bindehaut durch Konzentration von Melanin. Die Melanose ist ein unspezifisches Symptom und kann mit verschiedenen angeborenen, altersbedingten oder pathologischen Faktoren zusammenhängen. Die Melanose wird an der Haut oder der Schleimhaut / Konjunktiva beobachtet. Die Abgrenzung von anderen Pigmentstörungen (Lentigo, Nävi, Altersflecken, entzündungsbedingte Verfärbung) ist schwieriger, wenn die Blickdiagnose zweifelhaft ist. Zum Ausschluss von malignen Prozessen ist eine histologische Beurteilung notwendig.

Melanose als normale Pigmentierung
Bei den dunklen Fototypen V und VI ist eine Pigmentierung der Konjunktiva und der Haut normal bei Personen mit Fototyp VI. Patienten mit Fototyp V können eine Pigmentierung in der periokulären Zone ausgeprägter zeigen als im Rest des Gesichts.

Pseudopigmentación
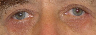
Eine Pseudopigmentierung (Fig.1) kann als Effekt der Dermatohalasis erscheinen. Die Haut wirkt dunkler aufgrund der Vielzahl feiner Falten.

Klassifikation 
Differenzialdiagnose

Fig.1.: P​Pseudopigmentierung durch die Bildung mehrerer feiner Hautfalten.

Fig 2: ​Die Pseudopigmentierung ist nach der Blepharoplastik verschwunden.

Konjunktivale Melanose 
Naevus Ota 
Der Naevus Ota ist kongenital oder tritt in der Pubertät auf, vor allem bei Mädchen. Er kann die Konjunktiva, die Sklera und die Haut betreffen. Er erscheint als flache, bläuliche Flecken. Eine Behandlung mit Laser ist möglich. Die Malignisierung ist selten. 

Primär erworbene konjunktivale Melanose (PAM) 
Dies sind pigmentierte Läsionen der Konjunktiva, die bei erwachsenen Patienten auftreten. Es besteht ein Risiko der Malignisierung (3/4 der konjunktivalen Melanome entstehen aus einer Melanose der Konjunktiva, während 1/4 von einem konjunktivalen Naevus ausgehen).